Top Links
Journal of Advances in Radiology and Medical Imaging
ISSN: 2456-5504
Dual- Energy CT (DECT) Pulmonary Angiography in Acute Pulmonary Thromboembolism (PTE): Causes, Semiology and Potential Diagnostic Pitfalls
Copyright: © 2016 Gálvez García S. This is an open-access article distributed under the terms of the Creative Commons Attribution License, which permits unrestricted use, distribution, and reproduction in any medium, provided the original author and source are credited.
Related article at Pubmed, Google Scholar
The dual-energy computed tomographic (DECT) technique allows the differentiation of materials with large atomic numbers such as iodine. The basic principle of dual-energy CT is material decomposition based on attenuation differences at different energy levels. The parameters for iodine extraction are a minimum value of – 960 HU, and a maximum of –600 HU. Lung parenchyma with normal perfusion in this attenuation range is presented in orange, and an area of decreased perfusion is visualized as an iodine defect area.
By using dual-energy CT angiography for the evaluation of perfusion defects in cases of pulmonary embolism (PTE), it is possible to replace perfusion and ventilation scanning. An iodine map from dual-energy CT can demonstrate the distribution of pulmonary perfusion. In patients with occlusive pulmonary emboli, iodine perfusion maps show wedge- shaped and in a segmental or lobar distribution iodine defect areas corresponding to malperfused lung parenchyma distal to a pulmonary embolus.
Therefore DECT pulmonary angiography not only enables imaging of emboli in the pulmonary vasculature but also provides an indication of their functional impact in terms of parenchymal perfusion.
The purpose of this study is to describe the use of DECT pulmonary angiography in acute PTE, analyzing the technique, clinical application and causes of false results in pulmonary parenchymal iodine perfusion maps.
Keywords: Dual energy; Computed tomography CT; Angiography Perfusion; Pulmonary embolism
List of Abbreviations: PTE: Pulmonary Thromboembolism; DECT: Dual- Energy CT; PBV: Pulmonary Blood Volume; PH: Pulmonary Hypertension
The purpose of our educational exhibit is to:
1. Present techniques, clinical applications, drawbacks and pitfalls of DECT in the diagnosis, prognosis and follow-up of PE.
2. Describe how to interpret iodine maps from dual-energy CT in cases of pulmonary embolism.
3. Evaluate the typical location and characteristics of focal iodine defects that are found in embolic and nonembolic patients.
4. Evaluate the impact of Pulmonary Blood Volume (PBV) maps on the detection of small pulmonary embolism.
5. List the clinical applications of dual-energy CT in various pulmonary diseases.
Pulmonary embolism is a potentially fatal disorder and the third most common acute cardiovascular disease, after myocardial infarction and stroke. When properly diagnosed and treated, however, the associated mortality and recurrence can be reduced.
Pulmonary CT angiography has now largely replaced ventilation/ perfusion scintigraphy and conventional pulmonary angiography for the evaluation of possible PE. Unfortunately, conventional pulmonary CT angiography only provides morphological information and its ability to assess sub-segmental pulmonary arteries is variable [1,2].
Dual- energy CT technique provides a short scan time, superior anatomic detail and detects comorbid diseases, with a high detection rate of pulmonary embolism.
Dual-source CT uses two orthogonally mounted X-ray tubes and detectors to double the speed of image acquisition. As each tube can be set at a different tube potential (100 kVp for one tube and 140 kVp for the other), DSCT also allows for simultaneous dual- energy CT image acquisition and largely excludes the need for interscan changes in contrast enhancement or patient movement between CT acquisitions.
DECT data can be readily post-processed to determine the amount of iodinated contrast material in any voxel. This is because iodine, as compared with soft tissue, attenuates X- ray spectra very differently at 100 kVp and 140 kVp settings. The image data from both energy levels are combined to form a hybrid image that is equivalent to a scan acquired at 120 kVp, which can be used for diagnostic evaluation of morphology and anatomy. In combination with the iodine map, which is related to the microvascular circulation in the lung, this scan can provide morphological and functional information in terms of parenchymal perfusion, thus improving the CT assessment of subsegmental pulmonary arteries [2].
Dual energy CT explores the different attenuation properties of matter at the two energy levels (100KvP and 140 KvP). A lower KvP is associated with increase photoelectric interactions especially in substances with higher atomic number such as iodine and calcium. The attenuation value at two different energies within a voxel can subsequently be analyzed using material decomposition technique, and post-processing of images can provide additional diagnostic value compared to single energy conventional CT.
Iodine, as compared with soft tissue, attenuates X-ray spectra very differently at 100 kVp and 140 kVp settings. The image data from both energy levels are linearly blended to form a hybrid image, which can be used for diagnostic evaluation of morphology and anatomy [2].
The normal lung shows homogeneous distribution of iodine in the entire parenchyma, whereas in patients with occlusive pulmonary emboli, iodine perfusions maps show sharply delineated triangular- shaped subpleural iodine defect areas corresponding to embolism [1] (Figure 1).
With these advances new pitfalls are also introduced. There are many other causes of focal iodine defects which do not originate from pulmonary embolism that must be considered and may be distinguished by their lack of a wedge shape [1,2].
The causes of nonembolic focal iodine defects are mostly due to beam- hardening artifacts from non-mixed contrast media in the superior vena cava or the left innominate vein for the apices of both the upper lobes, cardiac motion especially in the middle lung area, and diaphragmatic motion in the lung bases [1].
Areas of emphysema, atelectasis, or consolidation and lung masses are demonstrated also as perfusion defects. With an understanding of the common locations, characteristics, and causes of non-true-embolic defects, radiologists should be able to differentiate them from true- embolic defects.
All CT examinations were performed in our hospital using a dual- source CT scanner (Somatom Definition, Siemens Healthcare) in dual- energy mode. The system is equipped with two x-ray tubes and two corresponding detectors, which are oriented in the gantry with an angular offset of 90 degrees. Each tube is set at a different tube potential: 100 kVp for one tube and 140 kVp for the other. The first detector array (corresponding to tube A) provides a field of view (FOV) of 50 cm; and the second detector array (corresponding to tube B) is restricted to an FOV of 26 cm (Figure 18). Patients were centrally placed in the scanner to ensure that the entire pulmonary parenchyma was covered by the smaller field-of-view of the second tube detector array. In patients with a large body habitus, peripheral lesions can be excluded because data are only acquired by the second tube detector inside this area; thus, dual- energy data manipulation can only be performed in this area [3-5].
They were obtained after the injection of a bolus of iodine contrast followed by a 40 ml saline flush via an 18- gauge catheter at 4ml s-1 into the antecubital vein. For automatic bolus triggering, a region of interest (ROI) was placed at the ascending aorta, and when the ROI reached the trigger threshold (65HU), the CT scan was performed [1].
DECT pulmonary angiography does not expose patients to any significant additional radiation exposure over that of standard CT pulmonary angiography [3,4,6].
The acquired images are then automatically reconstructed to three separate image sets: 100 kVp, 140 kVp and a mixed 100:140 kVp image with weighting factor of 0.4 (40% image information from the 100 kVp image and 60% information from the 140 kVp image).
Iodine perfusion CT scans are generated using the lung Perfused Blood Volume (PBV) application mode of dedicated dual- energy post processing software (Syngo.via, Siemens Medical Solutions). This application mode was designed for iodine mapping to generate blood flow imaging that reveals indirect conclusion of the blood flow parameters by using known attenuation range values for air, soft tissue and iodine at 100kVp and 140kVp to calculate their relative contributions to the voxel. Using this software various applications modes of material decompositions are available (PBV, Iodine Perfusion and Virtual Non- enhancement) [1].
PBV maps can be fused as an overlay on weighted- average images, which permits simultaneous gray - scale evaluation of the enhanced central vasculature and color-coded PBV evaluation of lung parenchymal enhancement (Figure 2).
To generate an iodine perfusion map in PBV application mode, material decomposition can be performed only in the range between −960 HU and −600 HU. Any areas with attenuation outside of this range are displayed as perfusion defects. Thus, areas of emphysema, atelectasis, or consolidation and lung masses are also demonstrated as perfusion defects. Therefore, the algorithm uses a thresholding function to define the volume of lung parenchyma for analysis, excluding the chest wall, mediastinum and central larger vessels [5].
In combination with the PBV map (iodine map), which is related to the microvascular circulation in the lung, this scan can provide morphological and functional information, thus improving the CT assessment of sub-segmental pulmonary arteries [2].
On the color- coded iodine perfusion (PBV) maps, lung parenchyma with normal perfusion is presented in orange. Focal iodine defects are presented as dark orange- or black- coloured areas [1].
PBV imaging can be used to identify contrast defects resulting from emboli. This tool is well established for depicting areas of hypoperfusion due to acute pulmonary embolism. However, not all pulmonary emboli are associated with PBV defects. Thus, the normal and abnormal appearance of PBV should be recognized.
Normal PBV images were defined as showing homogeneous contrast enhancement in the normal range (colour-coded orange) with dependent symmetric lung iodine distribution (Figure 3).
Contrast enhancement defects that are consistent with PE include those that are peripherally located, wedge- sharped and in a segmental or lobar distribution (Figure 4,5,6 and 7).
All other contrast enhancement defects, such as patchy to band- like defects without segmental distribution or complete loss of colour coding (indicating lack of air- containing voxels owing to consolidation), were inconsistent with PE in our experience.
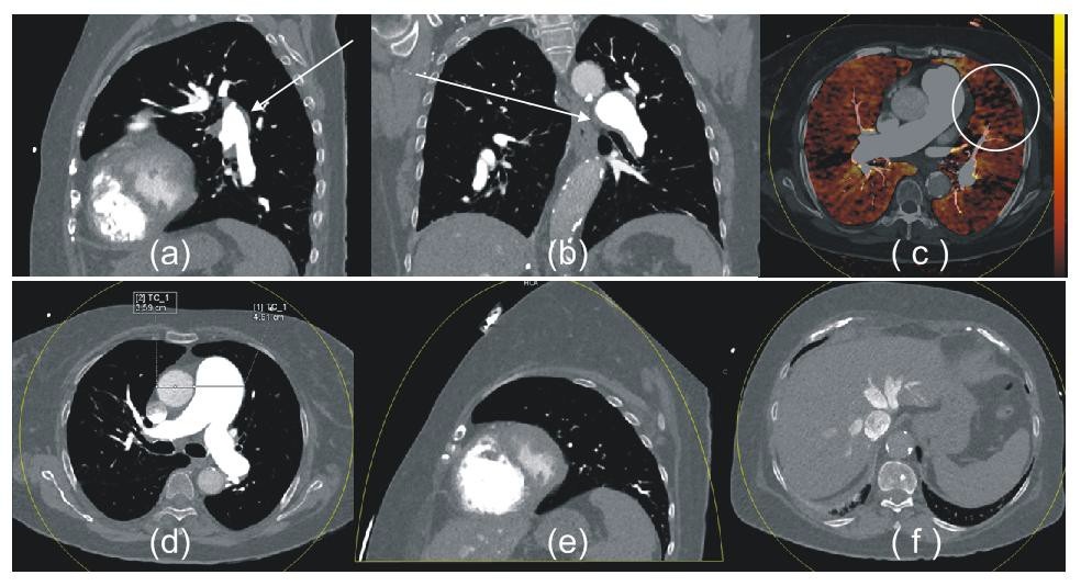
DECT and PBV can increase the sensitivity of CTPA for tiny peripheral emboli (Figure 8) [4].
In routine clinical practice, small endoluminal clots in the segmental or subsegmental pulmonary arteries could not be detected at CT angiography. When an iodine map from dual- energy CT is used, the detectability of small endoluminal clots in segmental or subsegmental pulmonary arteries is expected to improve. Simultaneous evaluation of an iodine perfusion map is able to show perfusion defects; thus, detection performance can be improved [3].
The detection of small emboli is of clinical importance because even small emboli require treatment to prevent chronic PE and pulmonary artery hypertension (PH) in several clinical scenarios: in patients with a small embolus and inadequate cardiopulmonary reserve; in patients who have a small embolus and coexisting acute deep venous thrombosis; and in patients with recurrent small emboli possibly owing to thrombophilia. The significance of small emboli needs to be studied further and PBV might assist with such studies [2].
The iodine perfusion map may also be used for follow-up of pulmonary embolisms. After the patient receives anticoagulation therapy, we can observe a decrease in pulmonary perfusion defects as well as resolution of endoluminal clots [2].
DECT angiography not only depicts the contrast enhancement defects resulting from acute PE, but also shows contrast enhancement defects associated with chronic clots (Figure 9) [2,7,8].
Pulmonary arterial hypertension may be idiopathic or arise in association with chronic pulmonary thromboembolism. Chronic thromboembolic pulmonary hypertension affects approximately 4% of patients with acute pulmonary embolism. The CTPA findings of chronic thromboembolic pulmonary hypertension include parenchymal and vascular signs.
The characteristic morphologic CT features of chronic pulmonary arterial hypertension (PH) are dilatation of the pulmonary artery trunk, the diameter of which frequently exceeds that of the ascending aorta; dilatation of the right and left main pulmonary arteries; abrupt narrowing and tapering of the peripheral pulmonary vessels; right ventricular hypertrophy; and right ventricular and atrial enlargement with inversion of the interventricular septum and dilatation of the tricuspid valve annulus (Figure 10) [6-8].
In the analysis of PBV images, sources of false-positive results should be kept in mind to avoid misdiagnoses. These pitfalls when interpreting PBV images can relate to artifacts from contrast material, physiological distribution of the contrast material and pulmonary pathology.
Perfusion defects due to beam- hardening and cardiac and diaphragmatic motion artifacts: The common locations of these contrast enhancement defects inconsistent with PE, are the anterior and apical segments of the right upper lobe, apical segment of the left upper lobe, and medial segment of the right middle lobe.
These artifacts must be considered when an unexpected contrast enhancement defect is noted adjacent to an area of high contrast enhancement. Because nonembolic perfusion defects are usually found in a similar location and are associated with beam-hardening artifacts or motion artifacts, we can differentiate them from perfusion defects originating from pulmonary embolisms. In patients without pulmonary embolism, the perfusion defects are bandlike or crescent-shaped rather than wedge-shaped [4].
Optimization of contrast medium injection parameters, including the use of a saline chase, can improve the image quality of DECT and increase diagnostic confidence in cases of pitfalls due to beam- hardening artifacts [2,5].
A potential method to improve image quality in the vicinity of the cardiac chambers to avoid cardiac motion artifacts might be to synchronise data acquisition with electrocardio-graphic tracing, a technological development currently exclusively available for myocardial ‘‘perfusion’’ analysis; however, such methodology could also potentially introduce stair-step or misregistration artifacts and requires further study [2].
Lung segments and characterization of focal iodine defects: In both upper lobes, the main cause of perfusion defects is beam-hardening artifacts that result from nonmixed contrast material in the superior vena cava or left brachiocephalic vein. In this case, the perfusion defect may appear as multiple ill- defined or sharply defined band shapes. We also can find band-shaped beam- hardening artifacts on the original CT scan in the mediastinal or lung window setting (Figure 11) [2].
In the medial segment of the right middle lobe and the lingular segment of the left upper lobe (middle lung area), the main cause of perfusion defects is cardiac motion. Such defects are crescent-shaped with margins of focal iodine defects usually ill defined. In these cases, the mediastinal or lung window CT scans show blurring or a double contour, adjacent to the cardiac border, which is indicative of cardiac motion (Figure 12) [5,9].
Finally, in the lung base, the cause of perfusion defects is diaphragmatic motion. In this case, the perfusion defect is crescent-shaped along the diaphragmatic contour. We can also identify a double contour or blurring on images obtained with lung or mediastinal windows (Figure 13) [5,9].
In addition, polygonal- shaped focal iodine defects adjacent to the aorta or pulmonary artery seem to be caused by the beating motion of these great vessels [1].
Normal physiological gravity- dependent variation in pulmonary ‘‘perfusion’’ should also be recognized [2].
Perfusion defects due to parenchymal diseases: Several lesions that cause increased parenchymal attenuation or profound decreased parenchymal attenuation can also manifest as perfusion defects. Those pseudodefects result from the thresholding function, which defines the range of included attenuations in the PBV calculation. Voxels with Hounsfield unit values outside of the range (- 960, - 600 HU) are assigned a value of 0 and are displayed as black on the PBV image. These areas then mimic areas of genuine perfusion defects [9].
These lesions are rarely confused with embolism because we are able to match it in the CT scan. A perfusion abnormality on blood flow imaging is not specific for PE, therefore functional reconstructions should not be viewed in isolation; rather, functional reconstructions should be viewed alongside the anatomic CT reconstructions for recognition of pulmonary abnormalities and diseases, such as emphysema, tumors invading or compressing the pulmonary arteries, pulmonary consolidation, vasculitides or aberrant vascular supply, all of which will result in blood pool defects in PBV images [9].
In the case of emphysema, the cause of perfusion defects is a true decrease in pulmonary circulation secondary to lung destruction; in the area of emphysema, alveolar surface reduction is accompanied by an equal reduction in capillary volume (Figure 14) [5].
In the case of lung masses (Figure 15,16), atelectasis (Figure 17), lung infarction, (Figure 18,19 and 20), consolidation, pneumonia (Figure 21), or pulmonary edema caused by congestive heart failure (Figure 22), the cause of perfusion defects is considered to be technical failure [5,9].
In PBV application mode, to generate an iodine perfusion map, material decomposition could be performed only in the range between −960 HU and −600 HU. Any areas with attenuation out of this range are displayed as perfusion defects.
In conclusion, focal iodine defects not related to pulmonary embolism are frequently found in dual- energy pulmonary CT angiography scans.
Contrast enhancement defects that are consistent with PE include those that are peripherally located, wedge- shaped and in a segmental or lobar distribution. All other contrast enhancement defects, such as patchy or band- like defects without segmental distribution or complete loss of colour coding (indicating lack of air- containing voxels owing to consolidation), were inconsistent with PE [2,5].
The most common causes of nonembolic focal iodine defects are beam- hardening artifacts or artifacts due to motion. With an understanding of the common locations, characteristics and causes of non- true- embolic defects, we should be able to differentiate them from true- embolic defects [1].
Knowledge of the focal iodine defects not related to pulmonary embolism can help us to more accurately interpret dual- energy pulmonary CT angiography scans [1].
DECT enables the simultaneous assessment of vascular anatomy, parenchymal morphology, perfusion, and cardiopulmonary status with no extra radiation dose (the radiation dose for DECT is equivalent or less than conventional CT technique) [7]. Images of pulmonary parenchymal contrast enhancement obtained using DECT improve the detection of defects, increasing sensitivity for pulmonary emboli, in particular for small emboli at a subsegmental level or in more distal vessels. DECT also improves the diagnosis of other vascular disorders, lung malignancies and parenchymal diseases [2].
